STEP 1
Curve Type 5
Lumbar curve major, other curves non-structural.
STEP 2
Lumbar modifier C
CSVL does not touch apex of lumbar curve
(apex - L1/2 disc)
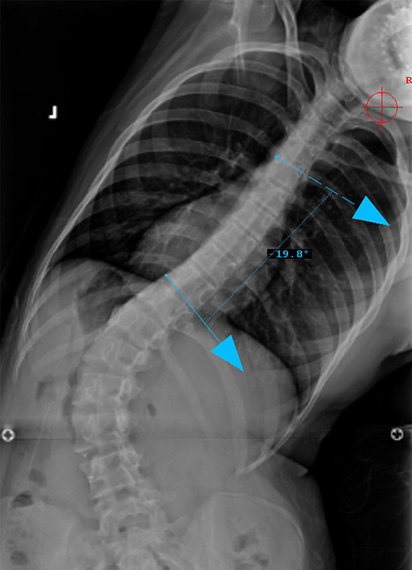
STEP 3
Sagittal Modifier N
T5-T12 in the 10-40o range
Therefore, Classification is Type 5CN
Lenke Type V describes a major curve in the thoracolumbar/lumbar region. The apex of the greatest coronal plane deformity is between T12 and L4. The main thoracic curve is non-structural with a side-bending Cobb of less than 25 degrees and a T10-L2 kyphosis of less than 20 degrees. All of these curves have a “C” lumbar spine modifier. The three sagittal modifiers are still applicable. These curves may be treated with either an anterior or posterior spinal fusion. The fusion levels are often the upper and lower end-vertebrae of the coronal plane deformity. For successful selective fusion of the thoracolumbar/lumbar spine the Cobb angle, apical vertebral translation, and apical vertebral rotation ratios (ThL/L:MT) should be greater than 1.25. In addition the MT curve should be flexible without evidence of thoracolumbar junctional kyphosis (T10-L2 > 20 degrees).
Preop: 5CN Examples
Preop PA View
Preop LAT View
Preop LEFT Bend
Preop RIGHT Bend
Disclaimer
The information contained in this website is for general information purposes only. The information is provided by Setting Scoliosis Straight and while we endeavour to keep the information up to date and correct, we make no representations or warranties of any kind, express or implied, about the completeness, accuracy, reliability, suitability or availability with respect to the website or the information, products, services, or related graphics contained on the website for any purpose. Any reliance you place on such information is therefore strictly at your own risk.




