STEP 1

Curve Type 2

proximal thoracic curve structural, main thoracic curve major, lumbar curves non-structural

STEP 2

Lumbar modifier A

CSVL between pedicles at apex (L5)

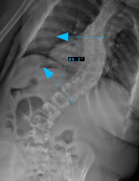
STEP 3

Sagittal Modifier ( - )

T5-T12 in the <10o range

Therefore, Classification is Type 2A-

Lenke Type II describes a double thoracic curve pattern. The main thoracic curve is considered the major curve as the greatest coronal plane deformity is present between T2 and the T11-12 disc. In Lenke Type II curves, the proximal thoracic spine is also considered structural. By definition, the proximal thoracic spine is structural if the deformity is greater than 25 degrees on side-bending radiographs or if the T2-T5 kyphosis is greater than 20 degrees in the sagittal plane. All lumbar and sagittal modifiers remain applicable in Lenke Type II curves. Often both the proximal thoracic and main thoracic curves are treated with instrumentation and fusion. The UIV is usually T2 or T3 based on shoulder position (high left shoulder fuse to T2) and the LIV is often the stable vertebra (best bisected by the CSVL) in the thoracolumbar junction.

Preop: 2A- Examples

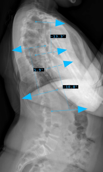
Preop PA View

Preop LAT View

Preop LEFT Bend

Preop RIGHT Bend

Disclaimer

The information contained in this website is for general information purposes only. The information is provided by Setting Scoliosis Straight and while we endeavour to keep the information up to date and correct, we make no representations or warranties of any kind, express or implied, about the completeness, accuracy, reliability, suitability or availability with respect to the website or the information, products, services, or related graphics contained on the website for any purpose. Any reliance you place on such information is therefore strictly at your own risk.