STEP 1
Curve Type 1
Thoracic curve major, other curves non-structural (bend out to <25o)
STEP 2
Lumbar modifier C
CSVL does not touch apex of lumbar curve
(apex - L1/2 disc)
STEP 3
Sagittal Modifier ( - )
T5-T12 in the <10o range
Therefore, Classification is Type 1C-
Lenke Type 1 describes a main thoracic (MT) curve pattern. It is the most common pattern seen in adolescent idiopathic scoliosis (AIS) and describes almost 50% of all cases treated surgically. By definition, the greatest coronal plane deformity is found in the MT region, with an apex of the deformity between T2 and the T11-12 disc. The compensatory proximal thoracic (PT) and thoracolumbar/lumbar (ThL/L) curves have less than 25 degrees of deformity on side-bending radiographs and less than 20 degrees of kyphosis between T2-T5 and T10-L2, respectively. The major distinction between the MT curves is the magnitude of the lumbar deformity as defined by the lumbar spine modifier (the relationship of the center sacral vertical line (CSVL) and the pedicles of the lumbar apical vertebral body). Additionally, the sagittal modifier describes the extent of kyphosis present in the thoracic spine between T5-T12. The typical AIS patient is hypokyphotic in the thoracic spine with a negative sagittal modifier. An additional curve type is included in Lenke Type 1. The King Type 4, or the long thoracic curve with L4 tilted into the thoracic curve, can also be classified as a Lenke Type 1A. To differentiate the classic main thoracic curve with a small lumbar compensatory curve from the long thoracic curve without lumbar decompensation, a distinction between Lenke Type 1AR and 1AL has been defined based on the L4 tilt (right versus left, respectively). In general, Lenke Type 1 curves are treated with a selective thoracic fusion. The upper instrumented vertebra (UIV) is often between T2 and T4. If the left shoulder is elevated the UIV should be T2, if the shoulders are level the UIV should be T3, and is the right shoulder is elevated the UIV should be T4. The lowest instrumented vertebra (LIV) is based on the lumbar spine modifier. In Lenke 1AR curves the LIV should be the vertebral body whose pedicle is last touched by the center sacral vertical line (CSVL). In Lenke 1AL or 1B curves the LIV should be the stable vertebra or one proximal to the stable vertebra, but never short of the end vertebra. In Lenke type 1C curves the LIV should be the stable vertebra or one distal to the stable vertebra.
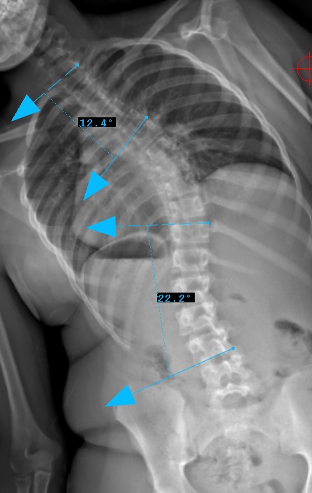
Preop: 1C- Examples
Preop PA View
Preop LAT View
Preop LEFT Bend
Preop RIGHT Bend
Disclaimer
The information contained in this website is for general information purposes only. The information is provided by Setting Scoliosis Straight and while we endeavour to keep the information up to date and correct, we make no representations or warranties of any kind, express or implied, about the completeness, accuracy, reliability, suitability or availability with respect to the website or the information, products, services, or related graphics contained on the website for any purpose. Any reliance you place on such information is therefore strictly at your own risk.




