STEP 1
Curve Type 3
thoracic curve non-structural, main thoracic curve major, Lumbar curves non-structural.
STEP 2
Lumbar modifier B
CSVL touches pedicle of apical lumbar vertebrae (ALV)
STEP 3
Sagittal Modifier ( - )
T5-T12 in the <10o range
Therefore, Classification is Type 3B-
Lenke Type III describes a double major curve pattern. The main thoracic curve is considered the major curve as the greatest coronal plane deformity is present between T2 and the T11-12 disc. In Lenke Type III curves, the thoracolumbar/ lumbar spine is also considered structural. By definition, the thoracolumbar/ lumbar spine is structural if the deformity is greater than 25 degrees on side-bending radiographs or if the T10-L2 kyphosis is greater than 20 degrees in the sagittal plane. All lumbar and sagittal modifiers remain applicable in Lenke Type III curves. In general, both the MT and ThL/L curves are treated with instrumentation and fusion. The upper instrumented vertebra is between T2 to T4 depending on shoulder position and the lowest instrumented vertebra is either L3 or L4. The LIV should have near-neutral rotation, be at least one disc level below the apex of the lumbar curve and the disc below the LIV should be parallel or wedged open opposite to the side of the apex of the curve.
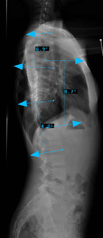
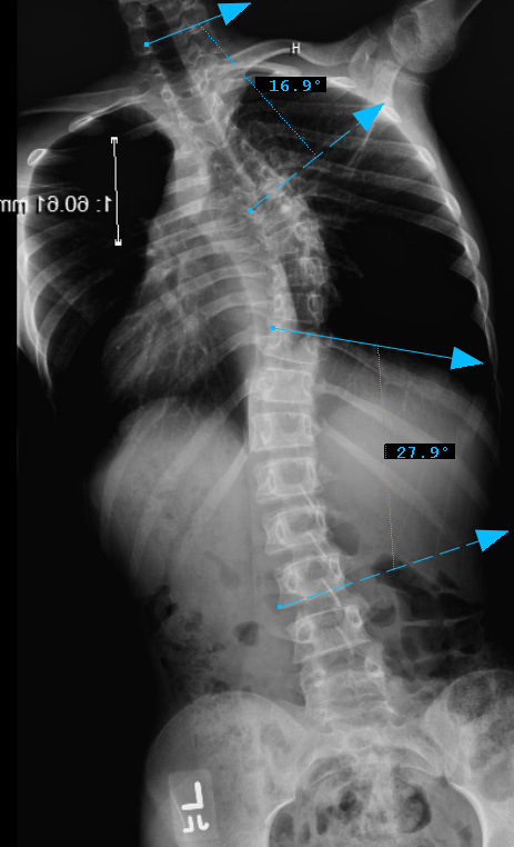
Preop: 3B- Examples
Preop PA View
Preop LAT View
Preop LEFT Bend
Preop RIGHT Bend
Disclaimer
The information contained in this website is for general information purposes only. The information is provided by Setting Scoliosis Straight and while we endeavour to keep the information up to date and correct, we make no representations or warranties of any kind, express or implied, about the completeness, accuracy, reliability, suitability or availability with respect to the website or the information, products, services, or related graphics contained on the website for any purpose. Any reliance you place on such information is therefore strictly at your own risk.




